Central Sydney Cardiology is proud to announce the launch of CaRi-Heart®, the groundbreaking AI technology that detects hidden coronary inflammation on routine cardiac CT.
Led by A/Prof Imre Hunyor, Australia’s first designated CaRi-Heart® expert, this service brings an internationally recognised innovation in preventive cardiology to Australian patients for the very first time.
Central Sydney Cardiology has entered a landmark collaboration with Caristo Diagnostics to introduce CaRi-Heart®, an advanced AI platform developed at the University of Oxford and now used across leading centres in the UK and Europe. CSC will become the first clinical site in Australia to offer this technology, positioning our practice at the forefront of personalised cardiovascular prevention.
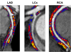
CaRi-Heart uses routine CT coronary angiography (CTCA) to analyse perivascular fat attenuation, a CT-based biomarker of coronary inflammation. This inflammatory signal, quantified as the FAI-ScoreTM, is a powerful measure of active coronary disease biology that cannot be seen on standard CT images. It highlights patients who may appear low risk despite minimal plaque or even a zero calcium score, but who have an elevated risk of future cardiac events. Research studies have shown that an abnormal FAI-Score is associated with a 20-fold increased risk of fatal heart attack and 6 times higher risk for major adverse cardiac events (MACE) (Chan, Lancet 2024).
The platform integrates inflammation, plaque characteristics, and clinical risk factors to generate an individualised 8-year CaRi-Heart Risk score, identifying patients who benefit most from early intervention.
Why this matters for patients
Most heart attacks occur in people with non-obstructive or mild coronary disease, patients traditionally labelled low risk despite having vulnerable plaque biology. CaRi-Heart uncovers this invisible risk and allows cardiologists to intensify prevention at a stage when disease is still reversible.
For patients, there is no additional test beyond a standard CTCA. CaRi-Heart is performed using the same images.
Implementation at CSC
Under A/Prof Hunyor’s leadership, CSC has established the first Australian clinical workflow for CaRi-Heart®. Our expert cardiologists can access this technology and interpret the results to develop personalised management plans.
This service is offered as a private, non-rebatable analysis.
A major step forward for preventive cardiology in Australia
With CSC becoming Australia’s inaugural CaRi-Heart Centre, patients now have access to a proven, internationally recognised tool that enhances risk prediction and supports more precise, biologically informed therapy. This collaboration reflects our commitment to delivering leading-edge cardiovascular care and strengthening the role of imaging-based prevention in Australia.
For more information or to arrange a CaRi-Heart analysis, please contact Central Sydney Cardiology via 02 9336 2666, or email cariheart@cardiology.sydney


