CaRi-Heart® at Central Sydney Cardiology
AI-enhanced CT coronary angiography that measures coronary inflammation and personalises future risk.
Central Sydney Cardiology is the first centre in Australia to offer CaRi-Heart, an advanced analysis of a standard CT coronary angiogram. CaRi-Heart quantifies an imaging-derived signal associated with coronary inflammation (the Fat Attenuation Index, or FAI) and integrates this with CT findings and clinical risk factors to provide an individualised estimate of future cardiac risk.
CaRi-Heart is particularly helpful when a CT coronary angiogram shows mild or non-obstructive plaque, but the clinical question remains whether the patient’s longer-term risk may be higher than it appears from stenosis alone.
Related pages
• Read our announcement: CSC becomes Australia’s first CaRi-Heart Centre CSC becomes Australia’s first CaRi-Heart® Centre, led by A/Prof Imre Hunyor – Central Sydney Cardiology
• Learn about optional AI quantitative plaque analysis: CaRi-Plaque AI quantitative plaque analysis
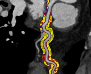
What is CaRi-Heart?
A CT coronary angiogram shows the coronary arteries and can identify plaque and narrowing. CaRi-Heart adds an additional layer by analysing changes in the tissue surrounding the coronary arteries that are associated with inflammatory activity. This is not something that can be reliably assessed by the human eye in routine reporting.
CaRi-Heart is designed to support clinical decision-making by providing additional, quantifiable information from an existing scan. It does not replace the standard CTCA report or your clinician’s interpretation of the images in clinical context.

What is FAI and why does it matter?
FAI stands for Fat Attenuation Index. In simple terms, it is a way of measuring subtle shifts in the characteristics of fat around the coronary arteries on CT. These shifts can occur when the artery wall is biologically “active” or inflamed.
Why is this clinically useful? Coronary risk is not determined only by whether a plaque causes a tight narrowing. Many heart attacks arise from plaques that were not severely obstructive beforehand. Inflammation-related biological activity is one of the drivers of plaque progression and instability. In some people, this signal can be elevated even when plaque is mild, when calcium score is low, or when stenosis is not severe. CaRi-Heart aims to identify this hidden risk signal so prevention can be better tailored.
What you receive in a CaRi-Heart report
Your CaRi-Heart analysis is returned as a structured report that your cardiologist reviews with you. Depending on the scan and clinical context, this may include:
- A vessel-by-vessel assessment of FAI-Score with reference ranges for age and sex
- A summary “highest-vessel” inflammation-related score
- An integrated risk estimate for future cardiac events
- A clear interpretation that sits alongside the CTCA findings and your clinical risk profile
The practical aim is to improve decision-making around prevention, particularly when the anatomy alone can appear reassuring.

Who is CaRi-Heart for?
CaRi-Heart is generally most useful when the clinical question is not simply “Is there a severe blockage?”, but rather “What is this person’s true biological risk and what should we do about it?”
It may be considered for people who:
- Have symptoms suggestive of coronary disease but CT shows mild or non-obstructive plaque
- Are at intermediate risk based on traditional risk factors and want a more individualised prevention strategy
- Have a strong family history, elevated lipoprotein(a), metabolic risk, or other risk markers where treatment thresholds are uncertain
- Want to better understand the biological activity of coronary disease and the rationale for prevention intensity
CaRi-Heart is not intended for urgent or unstable presentations where immediate decision-making is required.
How the process works at Central Sydney Cardiology
- CT coronary angiogram performed
Your CTCA is done at an imaging provider using an appropriate acquisition protocol. Many standard protocols are compatible, but in general it is best to have us arrange your CTCA, or check with us first. - Secure scan retrieval and upload for analysis
With your consent, the CT dataset is retrieved and securely sent for CaRi-Heart analysis. - Report returned and reviewed with your cardiologist
The result is integrated into your clinical management, including preventive therapy targets and follow-up planning.
How CaRi-Heart complements plaque assessment
CaRi-Heart focuses on an inflammation-related biological signal. Plaque assessment focuses on the amount, type, and distribution of atherosclerosis. These are complementary: one reflects biological activity, the other describes the disease substrate.
If you would like to understand plaque quantification in more detail, see our dedicated page: AI quantitative plaque analysis (CaRi-Plaque) CaRi-Plaque – Central Sydney Cardiology
Frequently asked questions
Does CaRi-Heart require another scan?
No. CaRi-Heart is an advanced analysis of an existing CT coronary angiogram dataset.
Is CaRi-Heart a replacement for a standard CT report?
No. CaRi-Heart is an additional clinical datapoint. It does not replace a standard CTCA report or the clinician’s interpretation of the images and clinical history.
What can CaRi-Heart change in practice?
For many patients, it clarifies whether mild CT findings are genuinely low risk or whether there is biological evidence supporting more intensive prevention. This can include tighter lipid targets, more structured lifestyle intervention, and in selected cases additional preventive strategies.
Is it Medicare rebatable?
At present, CaRi-Heart analysis is typically an out-of-pocket service. Our team will provide pricing and consent information prior to proceeding.
Can I have CaRi-Heart if my CT was done elsewhere?
In many cases, yes. The key requirement is access to the CT dataset in a suitable format and adequate scan quality. Our team can advise on suitability and workflow.
For more information or to arrange a CaRi-Heart analysis, please contact Central Sydney Cardiology via 02 9336 2666, or email cariheart@cardiology.sydney
